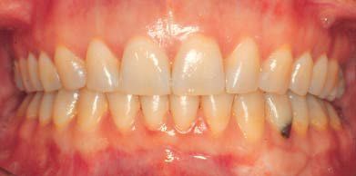
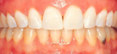
Clareamento
É feito com auxílio de um agente químico clareador que varia conforme o tratamento. Seu principal componente é o oxigênio, que é derivado dos peróxidos de hidrogênio ou de carbamida. O produto é colocado sobre os dentes, fazendo com que se infiltre na estrutura dentária e reaja com os pigmentos presentes.
Benefícios:
Melhora a autoestima.
Mais confiança ao sorrir.
Muda os hábitos alimentares.
Benefícios do clareamento dental :
Ajuda na identificação de outros problemas.
Saúde bucal de volta.


