
Ortodontia
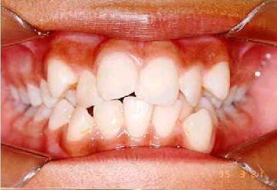
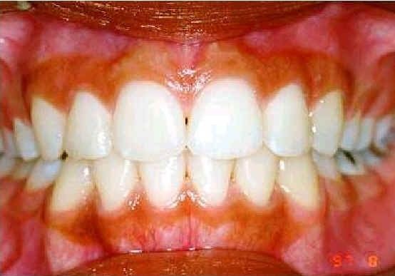
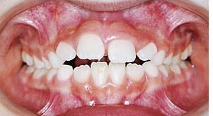
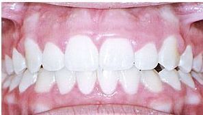
Ortodontia é a especialidade que tem como objetivo a prevenção, a supervisão e a orientação do desenvolvimento do aparelho mastigatório e a correção das estruturas dento-faciais, incluindo as condições que requeiram movimentação dentária, bem como harmonização da face no complexo maxilo-mandibular.





